Herpes Zoster

대상포진

극심한 통증을 남기는 바이러스 질환의 골든타임 치료

Definition

대상포진, 치료의 핵심은
골든타임 + 면역력 증강

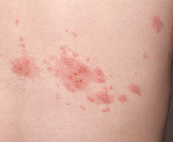
대상포진은 신체의 편측 피부에 발진과 수포가 띠를 두른 모양으로 나타나며, 바이러스
감염으로 발생하므로 초기에 항바이러스 치료를 시작해야 후유증을 최소화할 수 있습니다.
케이피부과는 골든타임 치료 원칙에 따라 발병 초기 72시간 이내 적극적인 치료를 권장하며,
면역력 증강을 도와 재발을 방지하는 솔루션을 제공합니다.

Point 01

정확한 진단
치료의 성공을 좌우합니다.

잘못된 초기 진단은 대상포진 치료를 지연시키며
심각한 후유증을 남길 수 있습니다.
케이피부과는 더모스코피, 피부스캐너를 활용하여
피부 병변 상태를 정밀히 분석, 치료 정확도를 높입니다.

know-how

K-노하우!
4-STEP 대상포진 치료 솔루션

대상포진 치료는 통증과 후유증을 최소화하기 위해 종합적 관리를 통한 전략적 접근이 필요합니다.
케이피부과는 발병 초기부터 질환의 단계에 맞춘 4-STEP 솔루션을 제공합니다.

Step 01

전문의 상담

피부 병변 확인 및
감염 여부 진단

Step 02

항바이러스 치료

바이러스 반응을
억제하는 약물 요법
및 염증과 통증 조절
주사요법 시행

Step 03

2차 감염 예방

병변 소독 및 치료 후
감염 예방을 위한
관리 시행

Step 04

증상 완화

통증 조절을 위한
약물 처방 및 추적 관리

Equipment

대상포진 예방접종

대상포진은 재발 위험이 높은 질병으로, 사전 예방이 매우 중요한 질환입니다.
케이피부과는 싱그릭스 백신을 통해 면역력 강화 및 대상포진 예방을 선도합니다.

  • 접종방법

    근육접종

  • 대상포진 예방효과

    50-59세 : 96.6%
    60-69세 : 97.4%
    70-79세 : 91.3%
    80세 이상 : 91.4%

  • 대상포진 후 신경통 예방효과

    50-69세 : 100%
    70세 이상 : 88.8%

  • 예방효과 지속기간

    10년 이상

Point 02

참지 말고,
지금 바로 치료하세요

분만 시 통증보다 심하다는 대상포진의
극심한 통증, 치료가 필요합니다.

초기 치료를 놓치면 신경 손상과
만성 통증으로 이어질 수 있습니다.
케이피부과는 전문적인 진단과 치료를 통해
통증 완화와 재발 방지를 돕습니다.

Counsel

소중한 내 피부를 위한 최고의 선택,
나의 피부과 전문의 케이피부과

지금 바로 1:1 맞춤 상담 받기

Speciality

전국에서 찾는 가 있습니다.

대한피부과의사회 소속 의료진 진료

체계적인 진료 프로세스

피부과 전문의가 15년 경력의 풍부한 임상 경험을
바탕으로
1:1 피부 상태에 적합한 맞춤 진료를 진행합니다.
의사의 직접 진료와 상담이 가장 먼저 진행되는
신뢰 기반의
진료 시스템을 운영합니다.

시술 후 개인에 따라 차이가 있을 수 있으며,
부작용이 발생할 수 있습니다.

대학병원 외래 교수

의사를 교육하는 전문성

의사를 대상으로 세미나 및 교육을 진행하여
최상의 실력과 최신 지견을 겸비하고 있습니다.

생생한 고객 후기

나와 가족이 믿고 치료받을 수 있는 정직한 진료
개원 이후, 신뢰와 실력으로 입소문을 타고 모든 연령대 환자들이
전국에서 믿고 찾아오는 병원입니다.

고객 만족 의료 서비스

직원 자체 교육 시스템과 정기적인 서비스 매뉴얼
업데이트
를 통해
의료서비스의 질을 지속적으로
향상하고 있습니다.

Consultation

빠른상담 신청하기

Location

Consultation

051. 755. 5511

Location

부산 수영구 수영로 693, BNK 수영타워 6층
(수영역 1번 출구 부산은행 건물 6층)

주차 지원 / 신한 민영 주차장

Consultation hours

월 / 금 AM 10:00 - PM 20:00
야간진료
화 / 수 / 목 AM 10:00 - PM 19:00
토 요 일 AM 09:30 - PM 14:30
점 심 시 간 PM 13:00 - PM 14:30

※ 일요일 및 공휴일은 휴진입니다.
※ 토요일은 점심시간 없이 진료합니다.