- 병원소개
- 전문의 칼럼
- 스페셜 프로그램
- 색소·미백
- 여드름·흉터·모공
- 안티에이징
- 탈모·제모
- 피부질환치료
- 커뮤니티
- 온라인상담
안녕하세요.
부산 수영구 케이피부과에서 피부과전문의로
활동하고 있는 강동영원장입니다.
노화가 진행되면서 많은 분들이
제일 크게 고민하시는 부분이 바로
기미와 같은 색소로 인해 지저분하고
칙칙해진 피부일겁니다.
피부만 깨끗해도 인상이 한결 밝아져
어려 보이고 우아한 느낌이 나기 때문인데,
막상 치료를 시작하려고 보면 치료 횟수나
치료 기간 때문에 고민하시는 분들이 많습니다.
주근깨, 잡티랑 달리 기본 10회 이상의
치료를 필요로 하고, 기미가 심하거나
잘 지워지지 않는 난치성기미라면
그 이상의 치료 횟수를 필요로 하기도 합니다.
■ 기미레이저 10회가 많은 이유
기미는 피부의 여러 층에 발생한 색소 문제로
주근깨, 잡티와는 달리 한두 번의 치료로는 제거가
되지 않습니다. 그래서 보통 10회 이상 치료를
계획하고 있습니다.

보통 10회 이상 치료 시 눈에 띄는 결과를 얻게 되지만
어떤 경우는 10회를 받았음에도 기대만큼의 변화를
얻지 못하기도 합니다.
이럴 땐 치료 방식을 잘 확인해야 합니다.
① 기미레이저만 사용하는 10회 치료인지
② 기미레이저+혈관치료 등이 포함된 10회 치료인지
기미레이저만 사용한 치료라고 하면 보통
피코토닝 10회 치료를 말합니다.
치료 전에 비해 기미가 옅어진 것은 사실이지만
만족할 만큼 제거가 잘 되지 않거나, 치료 후 다시
기미가 올라오는 문제를 걱정하기도 합니다.
이런 증상이 나타나는 원인으로는
눈에 보이는 색소만을 치료했기 때문입니다.
■ 색소만의 문제가 아닌 기미치료


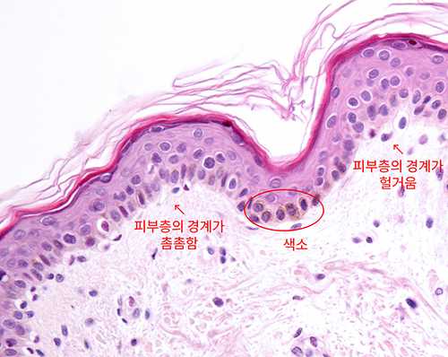
기미는 주근깨, 잡티 등과 달리 표피에서 진피에 걸쳐
피부 손상이 동반된 색소침착 문제입니다.
표피와 진피의 경계부가 느슨해져 있기도 하고,
염증반응 등으로 혈관의 탄력 문제가 동시에
나타나기도 합니다.그래서 기미가 있는 환자분들에서
미세한 홍조나 모세혈관확장 등의 증상이
동반된 경우가 흔한편입니다.
그래서 사실 기미치료는 색소 치료보다는 종합적인
피부 컨디션 치료의 개념으로 접근해야
좋은 치료 결과와 예후를 만들 수 있습니다.
그래서 저는 보통 기미레이저+혈관레이저+진피재생레이저 or 스킨부스터를 함께 사용하고 있습니다.
색소가 보통 표피부터 진피까지 나타나기 때문에
여러 층을 타겟팅 해야 할 필요가 있습니다.
그리고 색소 제거 방식을 달리해야 기미치료의
시너지를 얻을 수 있으며, 같은 방식의 자극에 의한
피부 손상 가능성을 줄일 수 있습니다.

그래서 저는 피코슈어pro, 피코웨이, 포토나레이저,
레블라이트SI, 미라젯, 이플러스, 포텐자, 플라듀오,
메트릭셀Pro, 젠틀맥스Pro 까지 다양하게 사용합니다.
또한 필요에 따라 브이빔퍼펙타 같은 혈관레이저도
기미치료에 함께 사용 중입니다. 앞서 이야기했듯이
기미는 염증반응을 동반하고 있는 경우가 많은데,
염증은 혈관 탄력에 영향을 주어 홍조를 포함한
다양한 피부 문제를 일으키기도 합니다.
그리고 니들고주파 또는 진피 재생에 효과적인
고주파 치료, 스킨부스터 등으로 피부층을
탄탄하게 만드는 과정이 필요한데,
이는 진피의 재색소침착을 막고, 피부결 및
피부톤의 문제를 개선하는 데 도움이 되기 때문입니다.
나이가 들면서 기미가 잘 생기는 이유로는
여러 요인이 있지만, 자외선과 같은
외부적인 손상과 함께 노화에 의한 손상도
큰 부분을 차지하는 만큼 노화방지에도
도움이 되는 치료를 하는 것이
제가 하고 있는 기미치료 방식입니다.
■ 기미 레이저 치료 10회 전후 비교

● 포토나레이저를 중심으로 진피 재생이 강조된 고주파 레이저를 사용한 기미레이저 치료
총 10회 전후
기미잡티는 물론 흑자와 점, 편평사마귀 등
여러 피부 문제가 동시에 나타나고 있는 상태였습니다.
나이가 많지 않음에도 병변의 종류가 다양하고,
피부색도 밝지 않아 색소 제거와 진피 재생에
효과적인 기미레이저를 중심으로 치료하였습니다.
( 블로그 서로이웃추가 후 확인 가능)
자세한 진단 내용과 치료 내역 확인 ▼
https://m.blog.naver.com/kbeauty0314/223529086276

● 피코웨이와 레블라이트SI 를 중심으로 진행된
레이저 부작용 및 기미레이저 치료 총 10회 전후
이미 한차례 기미제거를 위한 레이저를 받았으나
부작용으로 더 심한 기미 증상이 나타나고 있는
상태였습니다. 이러한 분들의 피부 상태를 보면
멜라닌 세포들이 활성화되어 있으며 진피의
구조가 비정상적으로 변화한 상태라 할 수 있습니다.
따라서 피부 자극을 최소화 하는 동시에 색소와
진피 리모델링 효과를 만들 수 있는 레이저를
중심으로 치료가 진행되었습니다.
(블로그 이웃추가 후 확인 가능)
자세한 진단 내용과 치료 내역 확인 ▼
https://blog.naver.com/kbeauty0314/222722273519

● 피코웨이 중심의 레이저치료와 쥬베룩볼륨(콜라겐자극제)을 사용하여 진행된
기미패치 부작용 및 기미레이저 치료
총 10회 전후
기미패치 사용 후 기미가 더 도드라지게 나타나고
피부 톤이 어두워 보이는데, 이는 기미와 함께
피부의 노화가 큰 영향을 주는 것으로 보였습니다.
색소제거 레이저와 함께 리쥬비네이션(Rejuvenation/회춘)에
도움이 되는 쥬베룩볼륨을
병행하여 색소치료 효과를 높였습니다.
(블로그 이웃추가 후 확인 가능)
자세한 진단 내용과 치료 내역 확인 ▼
https://m.blog.naver.com/kbeauty0314/223027084050
기미는 증상의 정도와 특징에 따라 사용되는
주요 레이저에 차이가 있습니다.
사람마다 피부의 특징이 다르기 때문에
색소가 잘 침착되는 타입, 자극에 예민한 타입,
기미 외에 다른 피부 증상이 심한 경우도 있는 만큼 그에 맞춰
주요 레이저를 잘 선정하여 치료해야
효과와 효율을 높일 수 있습니다.
그리고 이러한 치료를 위해서는 풍부한 경험이
바탕이 되어야 합니다. 기미는 특히 레이저 치료 후
더 심하게 색소가 침착되는 부작용이 드물지 않게
나타나는 만큼 치료할 곳을 신중히 선택하는 것이
중요합니다.
감사합니다. ^^*
서로이웃추가 후 더 많은 정보 확인 부탁드립니다.
카카오톡 문의하기
전화 문의하기
Tel: 051-755-5511
Consultation
Location